高龄肠癌伴梗阻出血,涵江医院3D腹腔镜微创手术助八旬老人闯过生死关
本篇文章1652字,读完约4分钟
如果你便便的习惯突然变了
有时候腹泻、有时候便秘
还总感觉拉不干净
那一定要注意了
你的大肠可能在“受苦”了
这些都是大肠癌的征兆

中老年人是大肠癌的高发人群
尤其高龄老人要特别注意
好在大肠癌可防可治
所以一旦出现异常
一定要及时就诊
不要错过治疗的黄金时间

目前大肠癌治疗技术比较成熟
我院也已完成多例对高龄患者的治疗
高龄合并多种基础病,治疗陷入两难
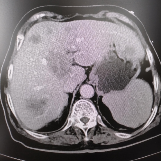
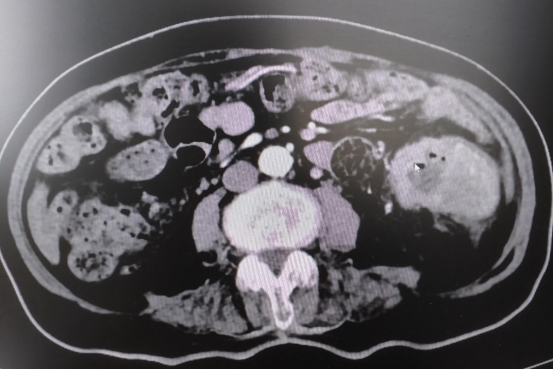
80岁的老奶奶在一年前就出现了排便异常、贫血,但因年龄较大,且伴有糖尿病、冠心病等基础疾病,忽视了这些征兆,也一直未进行肠镜检查。直到近期,奶奶症状突然加剧,已经出现严重的头晕、气喘,经检查发现重度贫血,输血后,我院肠镜检查确诊其为降结肠肿瘤,且肿瘤已导致肠道不通畅,CT进一步显示肿瘤已出现肝转移。

“患者年事已高,心肺功能衰退,合并多种基础疾病,手术耐受性差;但如果保守治疗,又无法解除肠梗阻和持续出血的风险。”普外科黄清泉主任表示,治疗方案一度陷入两难境地。
MDT多学科会诊,果断决策手术
面对复杂病情,黄清泉主任团队立即启动MDT多学科讨论,邀请心血管内科、内分泌科、消化内科、ICU、医学影像科、麻醉科及莆田学院附属医院胃肠外科专家李永良主任共同参与。

专家们全面分析后认为:大肠肿瘤不解决,患者将无法正常排便、进食,持续出血会加重贫血和营养不良;一旦出现肠道完全梗阻或肿瘤穿孔,治疗效果更差。与患者家属充分沟通后,团队决定先行手术切除肿瘤,解除出血及梗阻问题,待老人身体状况改善后,再针对肝转移病灶进行后续治疗。

术前,多学科团队为老人精心制定了综合治疗方案,包括纠正贫血、控制血糖、营养支持、改善心脏功能等。手术全程在麻醉医生严密监护下进行。
3D腹腔镜微创手术,精准快速切除病灶
手术采用3D腹腔镜微创技术,快速精准地切除了病变肠管。该技术具有伤口小、出血少、手术时间短等显著优势,极大地减少了对老人身体的创伤刺激。

“3D腹腔镜能够提供更清晰、立体的手术视野,让医生在操作时更加精准,尤其适合高龄、体质差的患者。”黄清泉主任介绍。
术后,在普外科医护团队的悉心管理下,老人得到细心调养,严防各类并发症,最终顺利康复出院。

专家提醒:肠癌症状易被基础病掩盖吗,早筛是关键
黄清泉主任特别提醒,高龄老人身体机能下降,肠癌症状很容易被糖尿病、冠心病等基础病掩盖。一旦出现以下情况,应及时就医检查:
排便不正常:长期便秘、腹泻,或两者交替,总感觉排不干净;
大便异常:大便带血、有黏液,或大便变细;
肚子不舒服:持续腹胀、腹痛,饭后加重,伴食欲不振、恶心;
全身状态差:不明原因消瘦、乏力、脸色苍白。
健康科普:大肠癌可防可治,守住三道防线
结直肠癌是为数不多的“可防可治”的癌症。早期肠癌治愈率超过90%,而晚期则大幅下降。
第一道防线:管住嘴
减少红肉(猪、牛、羊肉)和加工肉制品(香肠、培根、火腿)的摄入;
增加膳食纤维(全谷物、豆类、蔬菜水果);
多喝水,保持大便通畅。
第二道防线:动起来
规律运动促进肠道蠕动,减少有害物质停留时间;
每周至少150分钟中等强度运动。
第三道防线:查清楚
最核心的防线——及时做肠镜。它不仅能发现病变,还能直接在镜下切除癌前息肉。
普通人群:建议45岁起做第一次肠镜,结果正常者每5年复查一次
高危人群:应提前至40岁甚至更早开始筛查,包括:年龄超过45岁、有结直肠癌家族史、有肠息肉病史(尤其是腺瘤性息肉)、长期患有炎症性肠病、长期高脂低纤维饮食、吸烟酗酒、肥胖缺乏运动等。
高龄不是手术的绝对禁忌,晚期肠癌也不等于放弃治疗。对于多病缠身的高龄肠癌患者,治疗的目标是缓解痛苦、延长生命、提高生活质量。定期做肠镜筛查,早发现早治疗,千万别等到肠道堵塞、癌细胞转移了才就医。
莆田涵江医院普外科始终致力于胃肠道肿瘤的微创治疗与综合管理,依托多学科协作团队,为每一位患者制定个体化治疗方案,让更多复杂、高龄患者获得救治机会。
专家介绍



END
标题:高龄肠癌伴梗阻出血,涵江医院3D腹腔镜微创手术助八旬老人闯过生死关
地址:http://www.huarenwang.vip/new/20181024/11.html
免责声明:莆田新城网是福建莆田地区知名的本地城市生活门户网站,莆田新城网所著的部分内容来自于网络,不为其真实性负责,只为传播网络信息为目的,非商业用途,如有异议请及时联系btr2031@163.com,莆田新城网将予以删除。
上一篇:心理咨询师考证哪家机构靠谱?
下一篇:没有了

